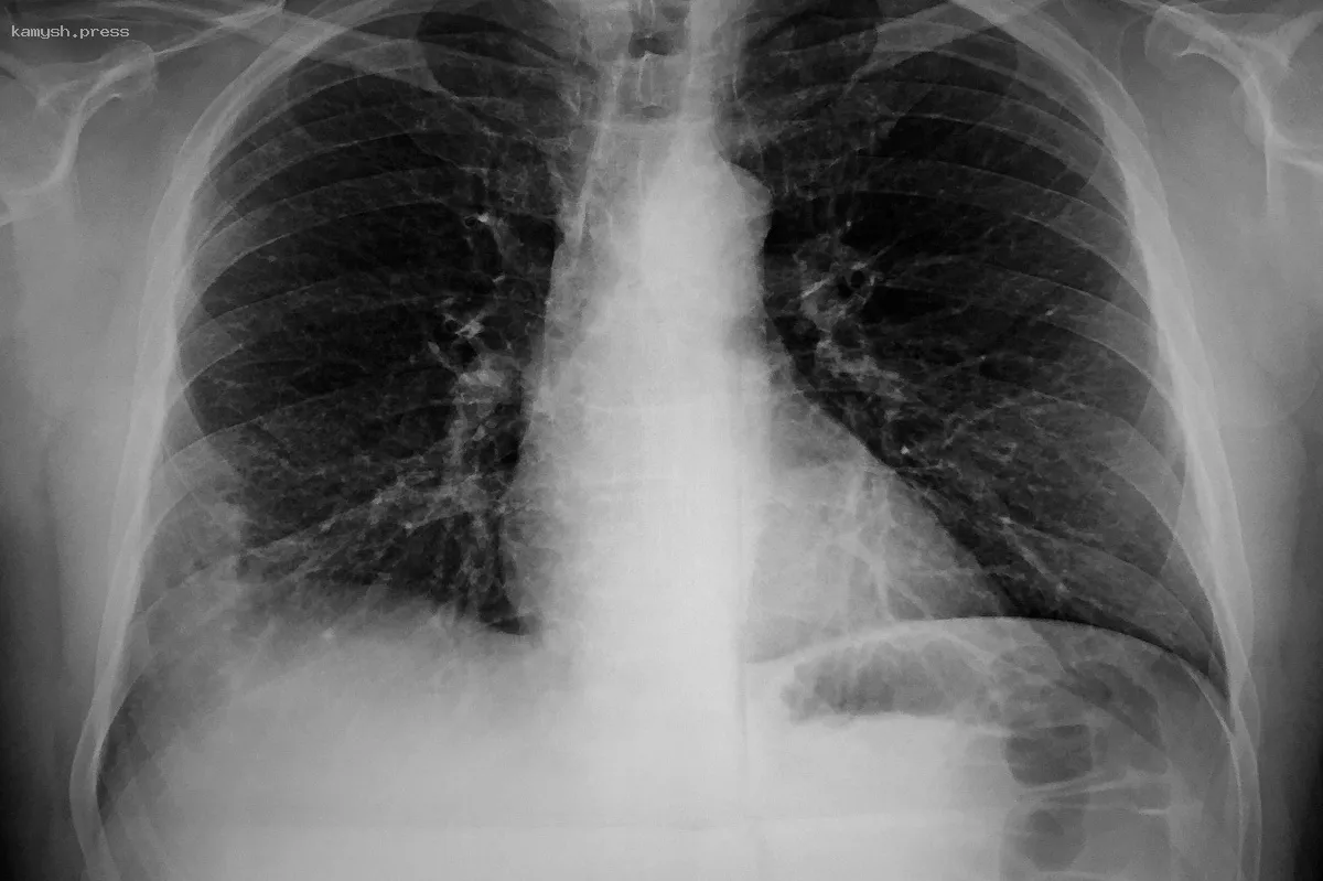
Микоплазменная инфекция может быть возбудителем до 20% случаев пневмоний. Чтобы не упустить развитие болезни, врач Татьяна Ким назвала характерные для состояния симптомы.
18+ Азартные игры могут вызывать зависимость. Играй ответственно.
Авторизация
Мы используем cookies для улучшения вашего опыта на нашем сайте. Продолжая использовать этот сайт, вы соглашаетесь с нашей политикой использования cookies.
Новые комментарии