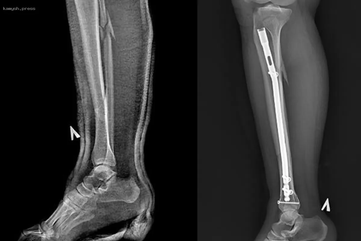
Женщине установили металлоконструкции, которые снимут через год, а пока она будет пользоваться костылями. Гипс в ее случае использовать не стали.
В отделении травматологии Пушкинской клинической больницы имени профессора Розанова В.Н. прооперировали 30-летнюю женщину, неудачно прогулявшуюся по улице на высоких шпильках: она сломала ногу в трех местах: оскольчатый перелом костей голени, большой берцовой и малой берцовой костей.
Женщине ввели спинальную анестезию и провели остеосинтез для закрепления обломков кости. Такой метод, объясняет травматолог-ортопед Александр Первухин, исключает вероятность вторичного смещения и последствий вроде тромбоза, остеопороза, артроза, а также не требует ношение гипса.
Пациентка теперь будет пользоваться костылями, на поврежденную ногу можно наступать, через год ей снимут все металлоконструкции, а до этого будут наблюдать за состоянием.
Врачи предупреждают: чтобы не происходило таких ситуаций, на каблуках нужно ходить осторожно и для повседневной носки выбирать высоту не более 5 см.




Новые комментарии